Įmonių sąrašas

Indlora, MB

Sporto g. 2-49, 68238 Marijampolė
(0 682) 61543
Atsidarys 9.00
9 metai veikloje
Google mapswaze
Google mapswaze

Rasti maršrutą:

Pasirinkite adresą:
Pasirinkite adresą:

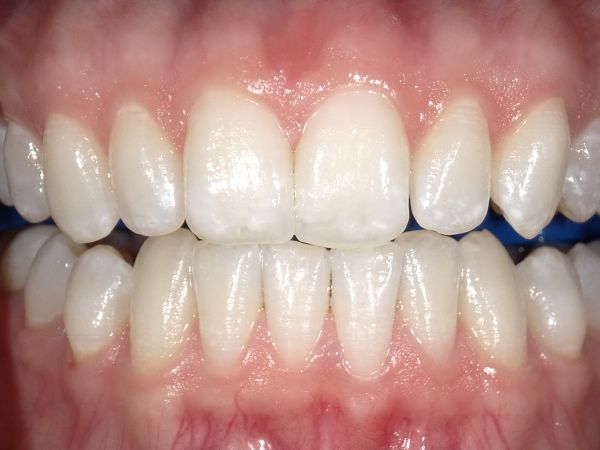
Profesionali burnos higiena

Profesionali burnos higiena
Daugiau
Profesionali burnos higiena - dantų karieso, burnos gleivinės bei periodonto ligų, ankstyvaus dantų netekimo profilaktika. Viso to galima išvengti, 2 kartus per metus atliekant profesionalią burnos ertmės higieną.